
刚刚结束的315晚会曝光了个别企业采用未经严格处理的槽头肉制作预制菜梅菜扣肉,现场触目惊心。槽头肉因为含有大量淋巴结、脂肪瘤和甲状腺,属于猪肉中必须进行严格“整修”的部分。这一事件,无疑又将预制菜推向了舆论的风口浪尖。
预制菜作为食品工业发展的必然产物,其发展趋势是不可逆的。如何保障预制菜的品质安全?岛津可提供以下7个方面的解决方案。
Part 1 有毒有害类
即农残、兽残、添加剂、真菌毒素等。岛津的LC、GC、LC-MS/MS、GC-MS、GC-MS/MS、ICPMS能很好的应对这些项目,同时,我们也有丰富的数据库、应用文集和解决方案提供给用户。

图1 T3(左,三碘甲状腺原氨酸0.26ng/mL)、T4(右,甲状腺素4ng/mL)MRM色谱图(LCMS-8050)

图2 27种性激素标液的MRM色谱图(2ng/mL,LCMS-8045)

Part 2 营养物质
部分预制菜营养价值低,一直被消费者所诟病。针对预制菜营养物质的保留,如维生素、氨基酸、脂肪酸等,岛津也有相应的仪器配置和解决案例。

图3 岛津维生素ADE二维液相系统

Part 3 风味
一些口味“刁钻”的老饕,只需浅尝一口就能区分出“现炒”和“预制”,这里主要是因为现炒的菜肴富有“锅气”,如何让预制菜保留“锅气”,这成为预制菜的更高要求。岛津的风味分析系统可以在此领域发挥作用。

Part 4 口感
由于预制菜通常需要二次加热,在此过程中,食品的脆度、弹性等特性可能受到较大影响(如脆皮烧鸭、牛肉丸等),岛津的质构仪(EZ-X)可以通过TPA、压缩、穿刺、弯曲等试验,测试食品的物理性能——硬度、脆度、弹性、粘附性、凝聚性等。

图4 牛肉丸的质构分析

质构仪Texture Analyzer EZ-Test
Part 5 包装材料
预制菜离不开各种材质的包装材料,包材的安全性、是否耐高温抗高压、包材污染物迁移问题、包材是否会影响预制菜风味,这些都是预制菜生产企业应该注意的问题。

图5 食品接触材料及制品中29种芳香族伯胺迁移量的测定


Part 6 真实性
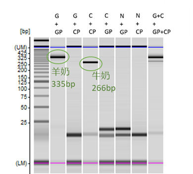
除即配类预制菜可以通过肉眼直接看出食品原料,其他类别的预制菜则无法实现此目的,因此预制菜的真实性也是消费者担心的问题之一。岛津Multina可以用来鉴定食品真伪。

图6 10种肉类鉴定

图7 羊奶粉、牛奶粉的鉴定
Part 7 微生物总数及种类鉴定
岛津提供微生物快速测试片(通过AOAC,检科院,Microval等权威认证)用于检测菌落总数、大肠菌群、霉菌和酵母、金黄色葡萄球菌等。

图1 T3(左,三碘甲状腺原氨酸0.26ng/mL)、T4(右,甲状腺素4ng/mL)MRM色谱图(LCMS-8050)
岛津iDplus系列MALDI-TOF微生物鉴定系统可供预制菜用户进行微生物鉴定研究。

本文内容非商业广告,仅供专业人士参考。
本文地址: https://www.xsyiq.com/50707.html
网站内容如侵犯了您的权益,请联系我们删除。